Хирургическая стоматология в Apex Dental Clinic

Современные решения для здоровья вашей улыбки

Что такое хирургическая стоматология?

Хирургическая стоматология — это раздел стоматологии, который занимается оперативным лечением заболеваний зубов, дёсен, челюстей и мягких тканей полости рта. В отличие от терапевтических методов, хирургия применяется, когда консервативное лечение невозможно или неэффективно.

В Apex Dental Clinic мы выполняем весь спектр хирургических вмешательств: от простого удаления зуба до сложной имплантации и реконструктивных операций. Наши хирурги — это врачи с многолетним опытом, которые используют современные протоколы, щадящие методики и передовое оборудование для максимального комфорта и безопасности пациента.

Основные направления хирургической стоматологии

🦷 Удаление зубов любой сложности

Мы проводим удаление зубов бережно и безболезненно:

Тип удаления

Показания

Особенности

Простое

Подвижные зубы, разрушенные коронки

Быстро, минимальная травматизация

Сложное

Ретинированные/дистопированные зубы мудрости, корни

Требует разреза десны, распила зуба

Атипичное

Зубы в зоне риска (нижние «восьмёрки» у нерва)

Проводится под контролем КТ, с сохранением структур


  • Используем атравматичные инструменты для сохранения костной ткани
  • Применяем методы, позволяющие в будущем установить имплант без костной пластики
  • Обеспечиваем полноценное обезболивание и комфорт во время процедуры

🔩 Имплантация зубов: восстановление улыбки «под ключ»


Имплантация — самый надёжный способ восстановить отсутствующий зуб. В Apex Dental Clinic мы предлагаем:
  • Одноэтапная имплантация — установка импланта и временной коронки за один визит
  • Двухэтапная имплантация — классический протокол с приживлением импланта перед протезированием
  • Имплантация с немедленной нагрузкой — для пациентов, желающих быстро вернуть эстетику
  • Все-на-4 / Все-на-6 — комплексное восстановление при полной адентии
Преимущества имплантации в Apex Dental:
  • Импланты от проверенных мировых брендов (Швейцария, Германия, Южная Корея)
  • 3D-планирование операции на основе компьютерной томографии
  • Гарантия на импланты и работу хирурга
  • Собственная зуботехническая лаборатория для точного протезирования

🦴 Костная пластика и синус-лифтинг


Недостаток костной ткани — не приговор для имплантации. Мы восстанавливаем объём кости современными методами:

🔹 Направленная костная регенерация (НКР) — подсадка костного материала для укрепления альвеолярного отростка
🔹 Синус-лифтинг — поднятие дна гайморовой пазухи для установки имплантов на верхней челюсти
🔹 Аутотрансплантация — использование собственной костной ткани пациента для максимального приживления
Все материалы сертифицированы, биосовместимы и обеспечивают предсказуемый результат.

🩹 Хирургическая пародонтология и пластика мягких тканей

Здоровые дёсны — основа долговечности зубов и имплантов. Мы выполняем:

  • Гингивэктомию — иссечение разросшейся десны для эстетики и гигиены
  • Пластику уздечки губы и языка — устранение дефектов, мешающих речи, приёму пищи или ортодонтическому лечению
  • Вестибулопластику — углубление преддверия полости рта для улучшения фиксации протезов
  • Лечение рецессии десны — закрытие оголённых шеек зубов мембранами и трансплантатами

Лечение воспалений и экстренная хирургическая помощь

Острая боль, отёк, флюс, киста — состояния, требующие немедленного вмешательства. В Apex Dental Clinic мы принимаем пациентов с острой болью в день обращения:

  • Вскрытие абсцессов и флегмон
  • Удаление кист и гранулём (цистэктомия, цистотомия)
  • Лечение периимплантита и альвеолита
  • Рассечение капюшона над зубом мудрости (при перикоронарите)

Как проходит хирургическое лечение: этапы

Консультация и диагностика
Осмотр, сбор анамнеза, КТ или прицельный снимок для оценки ситуации.
Планирование операции
Составление подробного плана: методика, анестезия, прогноз, стоимость.
Подготовка
При необходимости — анализы, санация полости рта, подбор медикаментов.
Операция
Проведение вмешательства в стерильных условиях, под контролем анестезии
Реабилитация
Инструкции по уходу, назначение препаратов, контрольные осмотры.
Долгосрочное наблюдение
Оценка приживления, подготовка к протезированию (при имплантации).

Подготовка к хирургическому вмешательству: что важно знать

  • Сообщите врачу о хронических заболеваниях, аллергии, приёме лекарств
  • При сложном удалении или имплантации — сдайте базовые анализы (по рекомендации)
  • За 2-3 часа до операции — лёгкий перекус (не натощак, если не указано иначе)
  • Возьмите с собой сопровождающего, если планируется седация
  • После операции — запланируйте отдых, избегайте физических нагрузок 2-3 дня

Реабилитация после хирургического лечения

Быстрое восстановление — результат правильной послеоперационной заботы:
🔹 Первые 24 часа:
  • Не полоскать рот активно, не трогать лунку языком
  • Прикладывать холод к щеке (15 минут через 15) для снижения отёка
  • Принимать назначенные препараты (антибиотики, обезболивающие)
🔹 Первые 3-7 дней:
  • Мягкая пища комнатной температуры
  • Исключить курение, алкоголь, баню, спорт
  • Аккуратная гигиена: чистка зубов без зоны операции, антисептические ванночки
🔹 Контрольный осмотр — через 7-10 дней для снятия швов и оценки заживления
Важно: При усилении боли, отёка, повышении температуры — немедленно свяжитесь с клиникой.

Часто задаваемые вопросы (FAQ)

Стоимость хирургических услуг

Мы понимаем, что цена — важный фактор выбора. В Apex Dental Clinic:
  • Прозрачная смета — вы знаете стоимость до начала лечения
  • Нет скрытых платежей — в цену включены все материалы и манипуляции
  • Рассрочка и кредит — комфортная оплата без переплат
  • Акции и скидки — специальные предложения на имплантацию и комплексное лечение
Точная стоимость определяется после диагностики и зависит от клинической ситуации.

Почему пациенты выбирают хирургов Apex Dental Clinic?

Опыт и квалификация — наши хирурги регулярно проходят обучение в России и за рубежом
Современное оборудование — работаем с 3D-томографом, хирургическими микроскопами, пьезохирургическими аппаратами
Безопасная анестезия — подбираем обезболивание с учётом здоровья и пожеланий пациента
Атравматичные методики — минимизируем отёк, боль и срок восстановления
Прозрачное ценообразование — вы знаете полную стоимость лечения до начала процедуры
Комплексный подход — при необходимости подключаем ортопеда, терапевта, ортодонта для идеального результата
Гарантия качества — предоставляем письменную гарантию на все хирургические работы

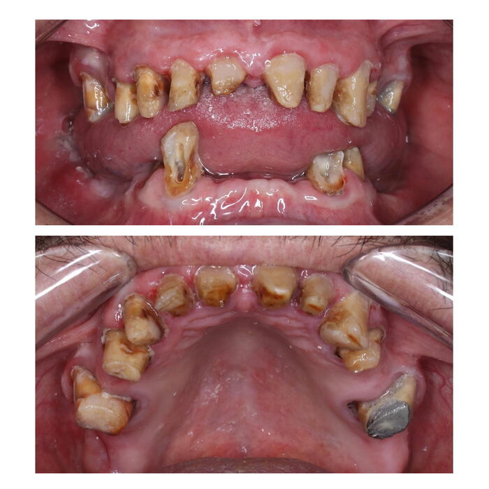
Счастливые улыбки наших пациентов. Результаты До / После

Заботьтесь о своей улыбке вместе с Apex Dental Clinic!

Не откладывайте решение стоматологических проблем. Современные хирургические методики позволяют лечить сложные случаи быстро, безопасно и с предсказуемым результатом.

Что входит в диагностику:
  • Осмотр главным врачом
  • 3D-Снимок (КТ)
  • План лечения со стоимостью
  • Ответы на все вопросы
Записаться на диагностику